现在人们的生活质量是特别的,好吃的东西也是五花八门,相信不少人因为这样的生活也导致自己的口腔出了一系列的问题吧。所以现在的人们对于口腔牙齿健康也关心了起来,近来有就朋友咨询衡阳种植牙哪个医院比较好?而俗话说牙疼不是病,疼起来是真的要命,的确体验过的人应该都知道牙齿疼起来,真的是让人特别难熬的一件事情,而现在也有很多牙齿缺失的人,对于他们来说牙齿缺失就导致了他们很多食物都没有办法吃了,所以很多人会为了日常生活的方便而选择种植牙,那么衡阳种植牙哪个医院比较好呢?今天牙大叔就来带大家进行一下盘点。
一、衡阳种植牙哪个医院比较好
1、衡阳美莱口腔医院
衡阳美莱口腔医院成立于1999年,到现在为止,有着20多年的历史了,医院的营业面积高达8000平方米,拥有着国际标准的手术室,这在衡阳当地是很少有的,并且这家医院拥有着很详细的医疗技术,大家可以进行全方面的改善。医院内的医生不仅手术造诣很好,而且有着很好的审美观念,所做出来的果都是比较符合我们的个人特点的。

2、衡阳优伢仕口腔医院
衡阳优伢仕口腔医院是一家二级的口腔专科医院,目前这家医院已经拥有了专业的认证,也是咱们的医保定点单位是可以刷医保卡的,医院的营业面积高达3000平方米,占地位置也特别的第一,大家可以放心在这家医院来进行改善,医院内的每一*医生都是有着多年的工作经验,可以根据我们的个人特点来进行手术方案的设定。

3、衡阳协和口腔医院
衡阳协和口腔医院是按照卫生局部门严格审核批准成立的正规医疗美容机构,这家医院发展至今有着较为良好的口碑,同时也赢得了当地人民的认可以及喜爱。医院内所使用的设备都是由国际上定的良好医疗设备,而且医院内的每一*医生都是经过专业培训的,可以为我们提供专业化的医疗服务。这家医院也特别看重,对于医生技术的培养,经常会邀请那些国际上知名的专家医生来到这家医院进行讲课教学,使医院的技术更加的专业。在价格方面,这家医院也是比较实惠的,大家可以放心的来选择这家医院进行改善。

4、衡阳谢氏口腔
衡阳戒指口腔是衡阳的一个老字牌医院,这家医院已经有着30多年的医保历史了,拥有着特别详细的医疗技术,这家医院内使用的设备都是由国际上引进的良好医疗设备,能够根据我们的不同情况来使用不同的设备,为我们提供专业化的医疗服务。

在衡阳当地还有着较为多不错的口腔医院,大家可以根据自己的实际情况都去面诊几家,看一下哪家医院更适合选择。
二、衡阳美莱口腔医院牙齿美白案例分享
姓名:小宇
年龄:26
职业:程序员
手术项目:种植牙
术后感受:
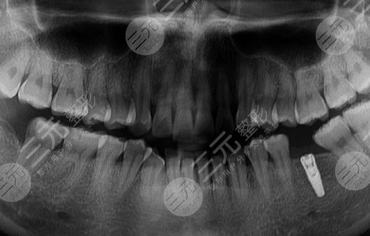
我是一个程序员,每天都会熬夜工作,身体的机能大量的下降,其实牙齿也并不是特别的好看,以前长过尽头牙,但是在专业医生的指导下已经将牙齿拔除了,但现在的门牙也不是特别的美观,较为的丑陋,还有一点脱落的现象,吃东西也较为的不方便。为了让自己能够吃想吃的东西,也为了让自己的口腔状态变得更加的精美一点点,去到了专业的整形医院进行了诊断,然后牙科的专业医生说可以做种植牙治疗,来使整个口腔变得更加的美观。
经过一系列的医学检测和诊断之后,较终确定了手术的方案就是种植牙治疗,做完手术之后,迫不及待的去镜子面前看了看自己的口腔状态,也用手机的相机照了照自己的牙齿,发现种植牙和自己原本的牙齿形态较为的合适,看不出有任何的区别,根本就没有突兀的感觉,果较为的自然和和谐。

大概过了一个星期左右,口腔状态变得越来越好了,对这种种植牙的适应性能较为好,虽然刚刚做完手术的时候是有一点不适的症状,还有一点点异物感,但是这些都是极其正常的现象,所以也并没有过多的担心。
(点这里!在线免费咨询价格)

较重要的是做完手术之后居然没有出现疼痛感,也没有出现感染的现象,医生对一切的手术程序都操作的较为的完善,口腔状态变得越来越好了,自己也变得更加的自信了,每一颗牙齿的形态都较为的漂亮,现在门牙缺失的部位也得到了填补,说话的时候不透风了,工作起来也更加具有自信。
三、衡阳种植牙价格表
| 衡阳种植牙价格表 | |
| 整形项目 | 价格参考 |
| 半口牙种植 | 57932-138233 |
| 单颗牙种植 | 11292-26753 |
| 多颗牙种植 | 27110-180487 |
| 全口牙种植 | 77478-280956 |
| 种植牙/颗 | 5969-15328 |
| 瑞士ITI种植牙/颗 | 8208-19131 |
| 美国3I种植牙/颗 | 9880-21272 |
| 德国费亚丹种植牙/颗 | 11311-16846 |
| 瑞典诺贝尔种植牙/颗 | 11102-17943 |
| 德国贝格种植牙/颗 | 8621-17815 |
| 美国百康种植牙/颗 | 8945-19498 |
| 瑞典诺贝尔种植/颗 | 11579-22341 |
| ITI瑞锆种植牙/颗 | 9370-18573 |
| 韩国奥齿泰种植牙/颗 | 6508-10109 |
| 韩国登特斯种植牙/颗 | 5761-9366 |
| 韩国美格真种植牙/颗 | 5618-15030 |
| 韩国登腾种植牙/颗 | 5657-10185 |
| 韩国dio种植牙/颗 | 5438-10228 |
| 德国ICX种植牙/颗 | 10902-19304 |
| 法国安多健种植/颗 | 11134-18441 |
| 进口种植牙/颗 | 9734-17010 |
| 国产种植牙 | 5022-13696 |
| 以上价格仅供参考,实际价格请到医院面诊获取! | |
以上关于【衡阳种植牙哪个医院比较好?附口腔医院排名+种植牙价格表】的内容只是一个大概,想了解更多整形知识、价格信息,可以点击 【在线咨询】一对一沟通
