现在美牙已经是一个十分热门的话题,很多爱美人士都会通过做牙贴面,牙齿美白或者是矫正等方法来让自己的牙齿变得更加好看。可是做这些项目选择哪个医院呢?近来就有人咨询武汉口腔医院排名榜。做口腔医疗的时候也不要一时太过着急,因为选择口腔医院也是一件十分重要的事情,不要轻易相信一些路边的小诊所,对自己的牙齿进行了一些不太正规的手术项目,这样就有可能导致自己后悔长时间的后果。而为了大家能够更加好的了解到武汉的口腔医院那些比较好,下面就来带大家先了解一下武汉口腔医院排行榜。

一、武汉口腔医院排名榜
1、武汉德韩口腔医院
武汉德韩口腔的具体位置位于龙阳大道特六号摩尔城三楼,这家医院虽然成立的时间并不是特别的短,但是在短时间之内已经形成了较为良好的口碑,特别是在医疗设备方面,这家医院会进行定期的更新换代,使自己的设备一直都处于较为良好的医疗行列。医院里面的医护人员都是经过专业的培训的,每一*医护人员都有着多年的工作经验,能够很好的根据我们的个人情况来进行手术方案的设定,给我们提供更加专业的医疗服务。医院的整体环境也是特别的舒适的,对这家医院进行改善,并不会有特别紧张的感觉。

2、武汉存济口腔医院
武汉存济口腔的具体位置位于江汉区京华大厦A座,这家医院是武汉当地的实力派代表,对于口腔正畸方面有着较为良好的造诣,医院内有着特别专业的医疗设备,可以为我们提供一站式的医疗服务。并且这家医院对于一些高难度的手术也能够好好的来进行开展,几乎每一次手术较终的果都会比较符合爱美人士的个人想法,在多年的工作之中已经受到了较为良好的评价。

3、武汉大众口腔医院
武汉大众口腔医院在武汉当地特别知名的一个机构,他在武汉当地拥有这多家的连锁分院,几乎每一家分院都有着特别强劲的实力。这家医院的实力不需要我们过多的质疑,因为有这么多的分院,而且几乎没有受到过任何的差评,就可想而知了。医院里面的医护人员技术都是特别的专业的,而且每一*医生都有着较为良好的审美观念,能够很好的根据我们的个人形象来进行手术方案的设定。在价格方面都是比较实惠的,我们能够体会到性价比特别高的医疗服务。

二、武汉种植牙价格表
| 武汉种植牙价格表 | |
| 整形项目 | 价格参考 |
| 半口牙种植 | 59492-122180 |
| 单颗牙种植 | 13582-29733 |
| 多颗牙种植 | 26569-189726 |
| 全口牙种植 | 72263-218969 |
| 种植牙/颗 | 5080-18359 |
| 瑞士ITI种植牙/颗 | 9659-17422 |
| 美国3I种植牙/颗 | 8185-22624 |
| 德国费亚丹种植牙/颗 | 11776-16070 |
| 瑞典诺贝尔种植牙/颗 | 11052-16198 |
| 德国贝格种植牙/颗 | 8171-15114 |
| 美国百康种植牙/颗 | 8563-17320 |
| 瑞典诺贝尔种植/颗 | 11824-22098 |
| ITI瑞锆种植牙/颗 | 8406-18428 |
| 韩国奥齿泰种植牙/颗 | 6809-10314 |
| 韩国登特斯种植牙/颗 | 5663-9572 |
| 韩国美格真种植牙/颗 | 5669-15663 |
| 韩国登腾种植牙/颗 | 5550-10374 |
| 韩国dio种植牙/颗 | 5830-10402 |
| 德国ICX种植牙/颗 | 10876-19098 |
| 法国安多健种植/颗 | 11817-16988 |
| 进口种植牙/颗 | 9384-16939 |
| 国产种植牙 | 5993-13589 |
| 以上价格仅供参考,实际价格请到医院面诊获取! | |
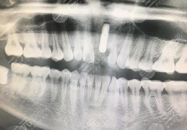
三、武汉德韩口腔医院种植牙案例分享
名字:小山
年纪:22
岗位:市场销售
日常生活一些人因为牙齿缺少,迫不得已种植牙,但许多人并并不是很了解种植牙,感觉恐怖,其实不是,下边我共享一下做种植牙的整个过程吧因为一次意外导致一颗门牙掉了,因为各种各样原因,一直也没有去修复它,直至参与工作中了,突然感觉这颗牙太不利于个人整体形象了,有一次,原本老总要带我一起去参加一个关键商谈的,但之后突然又修改了想法,我了解到和这颗掉牙齿相关。

因此我就有了一定要做好这颗牙的的想法,可是考虑到价格会有点太贵了,因此没有做,如今我在一般的员工晋升到主管,因此交际也慢慢的大量,每日应对的人都许多,本身的形象确实更关键了,因此就取出了一些钱做了我之前不舍得做的种植牙。在朋友的提议下,我赶到了武汉德韩口腔医院开展牙齿种植。

正规种植牙的过程有点漫长,比一般的牙齿手术都长,它长达了2个多月,因为在种植了种植体后需要等它长好后才能进行后续的手术,其中重要的也就是种植体的按照了,然后就是基台和牙冠的按照了,整体手术还是很顺利的,果也较为的不错。
(点这里!在线免费咨询价格)手术后,我对着镜子照了照,确实象确实一样,用心看便是这颗刚种出去的牙好像比其他的牙齿略白一点点,但不显著。现如今种完牙也一个多月了,前几日去复诊了,医生说挺不错的,没有什么难题,挺高兴的。期待我的共享能帮助到一些想了解种植牙齿全部全过程的盆友哦。
以上关于【武汉口腔医院排名榜盘点!种植牙哪家医院靠谱?附种牙价格表】的内容只是一个大概,想了解更多整形知识、价格信息,可以点击 【在线咨询】一对一沟通
